“The eyes are the windows to our soul”, William Shakespeare once said. And truly, our eyes are able to tell us so much about the health of the rest of our body. In fact, our eyes may offer a peek into the state of our heart affairs.
How exactly? When we look into our eyes, through the pupil, we can see the retina (the innermost lining of the eyeball) and all of its retinal blood vessels. These retinal blood vessels are closely connected to the health of our heart, which means that abnormalities we detect in the retina can be linked to problems with our heart and blood vessels in our body.
High blood pressure, also known as hypertension, is a condition that happens when the force of our blood against the wall of our arteries is too high. This is usually made worse by the fact that our arteries can get hardened as we age, due to the buildup of cholesterol plaques in our arteries, termed atherosclerosis. High blood pressure over a long period of time can bring about stroke, heart disease and kidney disease.
Eye doctors can look at the state of the retinal blood vessels and determine whether we have high blood pressure without the need for a blood pressure cuff.
Kinking of retinal blood vessels or very tortuous blood vessels can be clues that there is underlying hypertension. The size, calibre and wall of the blood vessels are also indicative signs of the presence of high blood pressure. In severe cases of high blood pressure, there may be swelling of the optic nerve (also termed papilloedema) with widespread haemorrhages (bleeding) and cotton-wool spots (signifying oxygen deprivation) in the retina. These changes are reversible if blood pressure can be lowered to ideal levels.

With high cholesterol in the blood, it is not surprising that some of these cholesterol plaques can find their way to the retinal blood vessels. Sometimes, eye doctors are able to find cholesterol crystals stuck within the retinal vasculature. These appear as a small white or yellow clot within the blood vessels.
Cholesterol may also appear in other forms in other parts of the eyes. It may appear as drusen (yellow deposits under the retina) in those with age-related macular degeneration, as asteroid hyalosis (cholesterol crystals floating within the eyeball that manifest as floaters), as greyish-white rings around the black of the eyes (called arcus senilis), and as xanthelasma which appears at the corners of the eyelids. All these signs are hints that cholesterol levels in our body are high and signal a need to cut down on a fatty diet!

Carotid arteries are the main blood vessels in our neck that supply blood to our entire head and brain. Fatty deposits or plaques can clog up these vessels and give off emboli (blood clots) which eventually lead to a stroke. A stroke occurs when there is oxygen deprivation to a part of the brain. It is one of the leading causes of death and permanent disability in Singapore.
One of the first signs before a full-blown stroke is the sudden blurring or blackening of vision, which occurs episodically and lasts transiently. Often the vision returns to normal after each episode. This condition is called “amaurosis fugax”. When the eye doctor takes a closer look into the eyes, a blood clot blocking a branch of the retinal artery can often be found. Further tests may reveal narrowing or blockage of the carotid arteries as well. If steps can be taken early to unblock these carotid arteries, stroke can be very much prevented.
Anaemia is a state of low red blood cell count and can occur in cases of iron deficiency, chronic blood loss, chronic illness or blood disorders like thalassemia. In severe anaemia, there can be blood vessel changes that are seen in the eyes. The eye doctor will be able to find blood spots (called Roth spots) and abnormal blood vessels (telangiectasia) growing at various parts of the retina.
This is important because anaemia that is present for a prolonged time can result in heart disease and may even lead to a heart attack. Moreover, anaemia usually has little to mild symptoms such as light-headedness, tiredness and breathlessness. If detected early by your eye doctor, you can seek treatment to rectify the underlying cause and prevent heart disease.

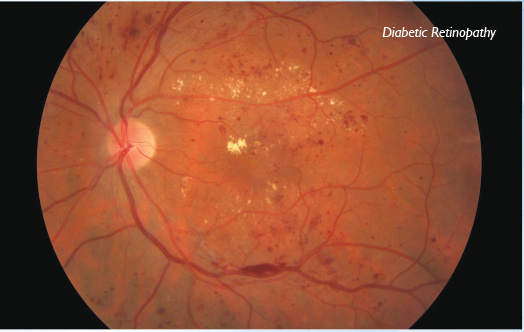
Diabetes is another condition that could be left undetected for a long time, because of its slow onset and minimal symptoms. Frequently, the eye doctor may be the first to spot some clues after an eye examination. When sugar levels in the blood are too high, the small blood capillaries in our retina can be damaged resulting in blood spots (haemorrhages) and abnormal new vessel growth within the retina. If left uncontrolled, this abnormal vessel growth leads to internal eye bleeding and eventual blindness.
We know that diabetes not only promotes heart disease, but it can also lead to kidney failure, loss of nerve endings and loss of limbs. Protecting your heart definitely starts with the prevention of diabetes, insulin resistance and the onslaught of metabolic syndrome – which is the cluster of risk factors that eventually lead to heart disease, stroke and diabetes. It includes signs like obesity, high cholesterol and high blood pressure. Stay active and maintain a healthy weight to keep metabolic syndrome at bay.

As you can see, the retina is very revealing of many ailments that can affect our body. As a retinal specialist, I find it intriguing and amazing that the eye is so connected to our heart and the rest of our body. Hence, it is particularly important for everyone to have a detailed check of their eyes and retina to detect and treat early diseases.
Article contributed by Dr Claudine Pang, Medical Director and Consultant Ophthalmologist at Asia Retina Eye Surgery Centre.